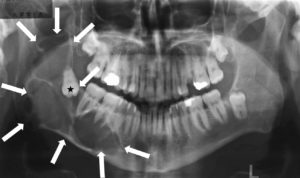
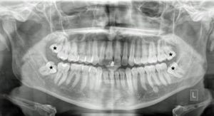
Οδοντοφατνιακή Χειρουργική – Έγκλειστα δόντια