- Home
- Οδοντικά Εμφυτεύματα
Οδοντικά Εμφυτεύματα
Εκατομμύρια άνθρωποι σε όλο τον κόσμο υποφέρουν από απώλεια δοντιών. Μετά από επιτυχή κλινική εφαρμογή για περισσότερο από 25 έτη, τα οδοντικά εμφυτεύματα αποτελούν σήμερα ένα εξαιρετικό υποκατάστατο των φυσικών δοντιών, με άριστη μακροχρόνια πρόγνωση. Τα εμφυτεύματα είναι κατασκευασμένα από τιτάνιο, το οποίο είναι πλήρως βιοσυμβατό και έχει καθιερωθεί ως υλικό εκλογής και στο χώρο της Ορθοπεδικής Χειρουργικής. Μικρά μεταλλικά στηρίγματα (abutments) συνδέονται πάνω στα εμφυτεύματα και αποτελούν το υπόστρωμα στο οποίο θα στηριχθούν τα τεχνητά δόντια (βλέπε εικόνα 1Α, 1Β). Δουλεύοντας σε συνεργασία με οδοντίατρο—προσθετολόγο (ο οποίος σχεδιάζει και τοποθετεί τα τεχνητά δόντια), ο γναθοπροσωπικός χειρουργός αξιολογεί τον ασθενή και τοποθετεί τα εμφυτεύματα στο οστό των γνάθων (βλέπε εικόνα 2).
Πιο σύνθετες στοματοχειρουργικές και εμφυτευματολογικές επεμβάσεις μπορούν να τελεστούν σε νοσοκομειακό περιβάλλον υπό ενδοφλέβιο αναλγησία και καταστολή (μέθη) ή γενική αναισθησία για την ελαχιστοποίηση του χειρουργικού stress και την εξασφάλιση των βέλτιστων συνθηκών για τον ασθενή.
Σε περιστατικά ολικής αποκατάστασης με οδοντικά εμφυτεύματα, σημαντική βοήθεια προσφέρουν πλέον οι ηλεκτρονικοί υπολογιστές, η εφαρμογή των οποίων επιτρέπει το σχεδιασμό της τελικής προσθετικής αποκατάστασης σε εικονικό περιβάλλον και τη μελέτη του αριθμού, της θέσης και της κλίσης των οδοντικών εμφυτευμάτων, ώστε αυτά να υποστηρίζουν με τον ιδανικό τρόπο τη μελλοντική προσθετική εργασία ανάλογα με τις ανατομικές συνθήκες που υφίστανται σε κάθε ασθενή (βλέπε εικόνα 3). Ακολούθως κατασκευάζεται με τη βοήθεια τεχνολογίας τρισδιάστατης εκτύπωσης ένας χειρουργικός οδηγός ακριβείας, ο οποίος χρησιμοποιείται κατά τη διάρκεια της επέμβασης και καθοδηγεί το χειρουργό στην τοποθέτηση των οδοντικών εμφυτευμάτων (βλέπε εικόνα 4). Σε τέτοιες περιπτώσεις συνήθως ακολουθεί άμεση φόρτιση των οδοντικών εμφυτευμάτων, δηλαδή αμέσως μετά τη χειρουργική επέμβαση ο οδοντίατρος παραδίδει στον ασθενή μία προσωρινή ακίνητη προσθετική εργασία, η οποία καλύπτει τις αισθητικές και λειτουργικές του ανάγκες μέχρι να οστεοενσωματωθούν τα οδοντικά εμφυτεύματα και να ακολουθήσει η διαδικασία της τελικής προσθετικής αποκατάστασης (βλέπε εικόνα 5). Η όλη διαδικασία μειώνει σημαντικά το συνολικό χρόνο της αποκατάστασης και αυξάνει κατακόρυφα την αποδοχή της θεραπείας από πλευράς ασθενών.
Η αποκατάσταση μονήρους ή τμηματικής απώλειας δοντιών στην πρόσθια αισθητική ζώνη της άνω γνάθου είναι ιδιαίτερα απαιτητική. Στόχος του χειρουργού και του συνεργαζόμενου οδοντιάτρου-προσθετολόγου είναι να δημιουργήσουν προσθετικές αποκαταστάσεις που να εναρμονίζονται αισθητικά με τη γειτονική φυσική οδοντοφυΐα και τους περιβάλλοντες μαλακούς ιστούς των ούλων. Για την επίτευξη του άριστου αισθητικού αποτελέσματος χρειάζεται σχεδόν πάντα να γίνει ανάπλαση με οστικά μοσχεύματα, ενώ κάποιες φορές απαιτείται συμπληρωματική διαχείριση της περίπτωσης με μοσχεύματα μαλακών ιστών (βλέπε εικόνα 6).
Εικόνα 1Α, 1Β
Εικόνα 2

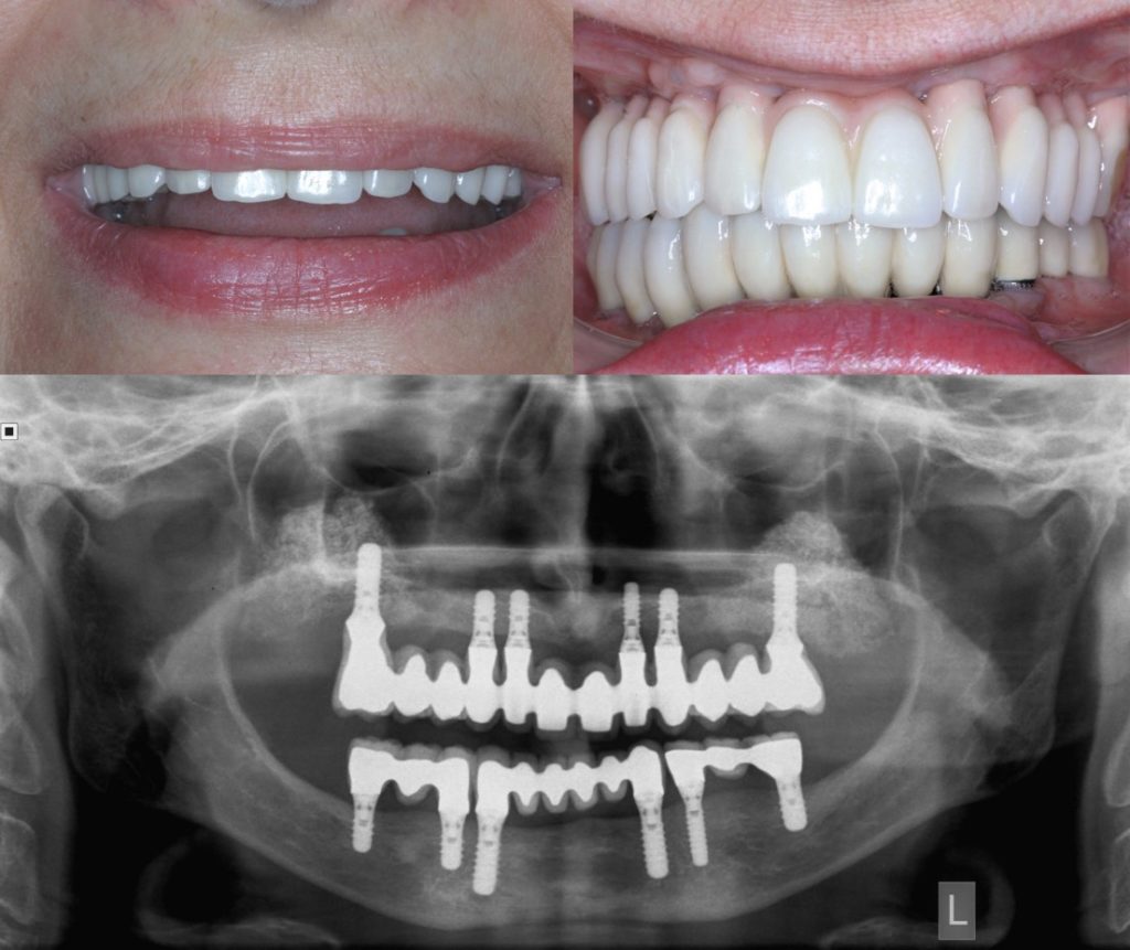
Περίπτωση ολικής αποκατάστασης άνω και κάτω γνάθου με οδοντικά εμφυτεύματα και ακίνητες προσθετικές εργασίες. Η συγκεκριμένη ασθενής απώλεσε τη φυσική της οδοντοφυΐα εξαιτίας προχωρημένης περιοδοντίτιδας (Οδοντίατρος: Ν. Χρονόπουλος).
Εικόνα 3

Προεγχειρητικός σχεδιασμός με τη βοήθεια ηλεκτρονικού υπολογιστή της ιδανικής τοποθέτησης των εμφυτευμάτων με σκοπό την κατασκευή χειρουργικού οδηγού ακριβείας.
Εικόνα 4

Στην ίδια περίπτωση με την εικόνα 3 διακρίνονται εδώ τα διεγχειρητικά στάδια χρήσης του χειρουργικού οδηγού ακριβείας για την τοποθέτηση των οδοντικών εμφυτευμάτων στις προσχεδιασμένες θέσεις και αξονικές κλίσεις.
Εικόνα 5

Στον ίδιο ασθενή παραδόθηκε άμεσα η ακίνητη προσθετική αποκατάσταση (άμεση φόρτιση από προσθετολόγο Ν. Συκαρά).
Εικόνα 6

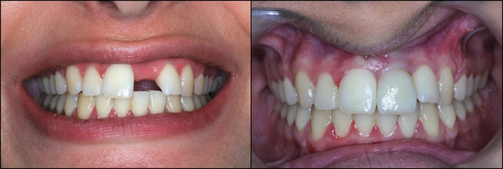
Περίπτωση αποκατάστασης μονήρους απώλειας του κεντρικού τομέα της άνω γνάθου σε νέα γυναίκα με υψηλή γραμμή χαμόγελου και υψηλές αισθητικές απαιτήσεις. Η συγκεκριμένη περίπτωση αντιμετωπίστηκε με μόσχευμα σκληρών και μαλακών ιστών, ενώ κατασκευάστηκε ολοκεραμική στεφάνη για την επίτευξη του ιδανικού αισθητικού αποτελέσματος (Προσθετολόγος: Α. Μητσούδης).